Before and After Pinhole

Before and After Pinhole

Before and After Crown Lengthening

Before and After Crown Lengthening

Before & After

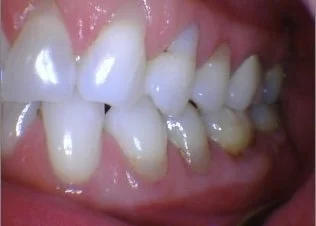
Before and After Allograft

Before and After Allograft

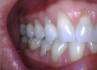
Before and After Gingival Graft

Before and After Gingival Graft