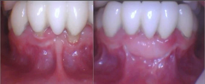
Gingival Graft

The main goal of soft tissue grafting is to cover the exposed root and to thicken the existing gum tissue in order to prevent further loss of supporting bone and gum tissue. At the time of the consultation you will be given a folder with all the pre and post operative recommendations that you will have to follow to ensure a healthy recovery.

You will be given a special mouth rinse to help control plaque buildup and will see you for a follow-up 10 to 15 days after your procedure. We will call you the following day of your procedure to make sure everything is going normally. And we will also remain available to you in case you would like to be seen before your follow-up visit.

Before

After

Before

After

Before

After

Before

After